Questo ci fa capire che almeno una volta ogni sei mesi sarebbe utile andare dal dentista per una visita. Un’ottima soluzione potrebbe essere quella di programmarle con largo anticipo. Ma vediamo, nello specifico, quali sono i controlli che effettuati durante l’anno ci possono aiutare a non ricevere brutte e dolorose sorprese.
Controlli annuali dal dentista: quali aiutano a prevenire
La Visita dal Dentista

Le visite periodiche consentono di monitorare e identificare eventuali patologie che potrebbero potenzialmente creare danni gravi. Una normale visita dal dentista si svolge solitamente in due fasi differenti: il controllo e la pulizia.
Durante la prima parte, lo specialista analizza lo stato della bocca e controlla che non ci siano placca e tartaro, i veri nemici dei nostri denti. La placca infatti, è uno strato batterico chiaro e gelatinoso che, se non viene rimosso, può indurirsi e diventare tartaro, un deposito calcificato che lascia delle sgradevoli macchie sui denti. Impossibile da eliminare con lo spazzolino da denti, il tartaro può essere rimosso solo durante un trattamento professionale. Dopo aver controllato anche lo stato delle gengive, il dentista si dedicherà alla seconda parte della visita: la “pulizia dei denti”.
Il Trattamento di Igiene Orale (la “pulizia dei denti”)
È un trattamento che andrebbe eseguito una/due volte l’anno. La pulizia dei denti, se eseguita correttamente, può essere un toccasana per la salute della nostra bocca: serve infatti ad eliminare lo sporco che con il normale spazzolino non si riesce ad intercettare durante la pulizia quotidiana e che, se trascurato, potrebbe causare gengiviti e parodontiti. Nella zona posteriore agli incisivi inferiori, ad esempio, è possibile che si depositino i residui di placca e tartaro che possono essere eliminati solo grazie agli strumenti professionali utilizzati dagli specialisti. Questi dispositivi, ad ultrasuoni, sono dotati di punte sottili vibranti che grazie anche alla manualità del medico, riescono a raggiungere le parti più nascoste.
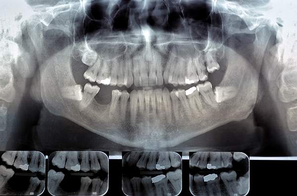
L’Ortopanoramica

Chiamata comunemente “panoramica”, questa lastra oltre ad essere fondamentale prima di un trattamento odontoiatrico, è molto utile per tracciare un bilancio dello stato della bocca in quanto permette di esaminare le zone nascoste che altrimenti non riusciremmo a vedere. Spazi interdentali, tasche gengivali, spessore osseo, parti del cavo orale che non si vedono ad occhio nudo possono infatti nascondere eventuali danni microscopici prima che possano diventare problemi difficilmente risolvibili, come granulomi e cisti.
Controlli e precauzioni prima di andare in Vacanza
Tenere sotto controllo la nostra bocca è fondamentale per prevenire danni irreparabili, e a mettere a dura prova i nostri denti sono sopratutto gli eccessi alimentari: piccoli “sgarri” che, soprattutto durante le vacanze, ci concediamo. Per questo in estate, e più in generale durante le ferie, è opportuno recarsi dal proprio dentista di fiducia per dei controlli preventivi. Tra i disagi più sgradevoli che possono capitare mentre si è fuori casa, infatti, il dolore ai denti sta sicuramente in cima alla classifica dei più fastidiosi. Immaginate: siete in vacanza, vi state dilettando a bighellonare tra le stradine di una meravigliosa cittadina e tutto ad un tratto vi sorprende un doloroso male ai denti, non sarebbe stato meglio pensarci prima?
Se porto una Protesi dentale cosa devo controllare?
Oltre ai controlli che vi abbiamo consigliato nei paragrafi precedenti, devono prestare particolare attenzione coloro i quali sono portatori di protesi. Queste infatti, se non vengono controllate regolarmente, possono essere soggette al rischio di rotture. Che quella che portate sia fissa o mobile, prima di andare in vacanza fareste bene a programmare una visita dal dentista per controllare che non ci siano elementi compromessi o che potrebbero cedere da un momento all’altro. Fatevi prescrivere i prodotti o gli antibiotici che potrebbero esservi d’aiuto contro il dolore nell’eventualità in cui dovesse rompersi qualcosa: in questi casi, infatti, andare in farmacia e prendere un antidolorifico qualunque è la pratica più diffusa, ma anche la più sconsigliata dagli specialisti.
L’apparecchio viene in Vacanza con voi

Se porto l’apparecchio? In questo caso vale più o meno lo stesso discorso. Ci riferiamo ai bambini, ma anche agli adulti che portano l’apparecchio ortodontico. L’apparecchio farà le vacanze insieme a voi, per cui, prima di partire passate dal dentista (con il vostro bimbo, se è lui l’interessato) e fate controllare lo stato di attivazione dei dispositivi utilizzati nell’apparecchio. Una volta avuto l’ok del medico, potete partire sereni e rilassati per le vostre vacanze, senza la paura che fastidiose complicazioni possano rovinarvi le ferie.
A volte trascuriamo e sottovalutiamo alcuni sintomi perché non sappiamo riconoscerli e spesso, purtroppo, perché non vogliamo impegnarci economicamente. Questo perché non ci rendiamo conto del fatto l’unico reale modo per risparmiare è prevenire. Per questo è importante diffondere la cultura della prevenzione e valutare polizze assicurative che consentono di accedere a strutture odontoiatriche di qualità a basso costo.
Voi avete mai stipulato un’assicurazione dentale?

Nessun commento